德伦口腔:让全民拥有一口健康好牙

020-83782905关注我们:

  • 首 页
  • 关于德伦
    德伦品牌
    学术科研
    公益事业
    环境设备
  • 专家团队
  • 在线挂号
  • 加入我们
  • English

您的位置: > 洁牙中心 > 牙结石 >

牙结石的治疗与预防

发表于:2023-05-07 来源:德伦口腔 编辑:徐编 点击:次

说到牙结石,很多人可能不甚了解,以为只有在人体内部如胆囊、肾脏等区域才会形成结石,殊不知牙齿上结石其实更为常见。正是由于人们对牙结石的存在没有引起足够重视,其潜在危害也没有被人们所察觉,直到它引起龋病和牙周病等口腔疾病并引发严重后果,人们才后悔莫及。今天,小德将带大家认识牙结石,了解关于它的概念、产生、危害及应对方法。
 
什么是牙结石长什么样子?
 
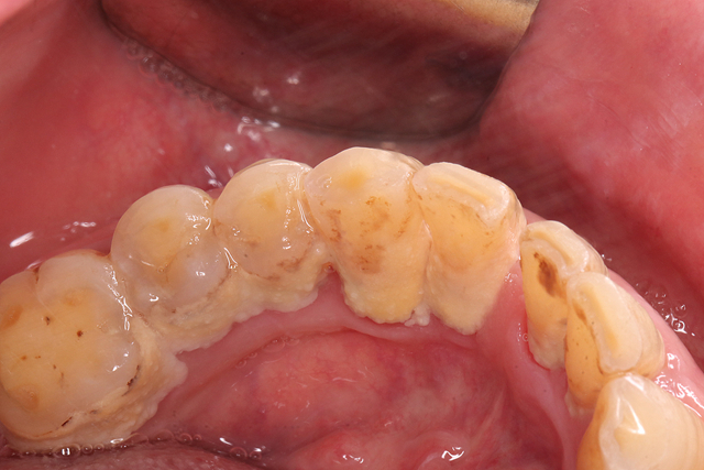
牙结石又称牙石,是长期附着在牙齿表面经过沉积和钙化形成的菌斑和软垢。它们通常呈黄色、褐色甚至黑色,主要在牙龈边缘,两颗牙齿之间或龋齿沟,呈现出大小各异的不同形状,甚至有的可以通过拉舌头而感知。
 

 
牙结石是如何形成的呢?
 
口腔内的细菌加上唾液中的糖蛋白会使牙齿表面形成一层薄膜经过长时间沉积形成菌斑再加上食物残渣和唾液所析出的钙磷无机盐慢慢矿化,形成牙结石。
 

 
牙结石会形成哪些危害呢?
 
人体口腔并不是一个无菌状态,无数个细菌再加上食物残渣形成的牙菌斑如果没有及时清理长期沉积在牙齿表面特别是在牙颈与牙龈交界处,长期刺激牙龈会引发牙龈炎而导致口臭、牙龈红肿、出血等情况,且在牙龈炎症状之后,如果没有及时治疗可能会导致牙周炎的发生,使牙龈、牙周膜、牙槽骨和牙骨质遭到破坏,如牙周袋的形成、附着丧失和牙槽骨吸收,随着病程发展严重会出现牙齿松动、移位、牙龈萎缩、肿胀疼痛、导致牙齿缺失。
 

 
对于牙结石如何治疗?
 
 一方面是对牙菌斑的控制,以减少牙结石的形成和细菌对牙龈的侵害,另一方面用洁治的方法清除附着在牙齿表面的牙结石,洁治术主要是通过超声波震碎牙结石同是会有水雾喷出,将震碎的牙结石冲洗干净,色素沉淀严重者还需进行喷砂、抛光,以减少牙菌斑和牙石再次附着牙面的目的。

 
如何预防牙结石?
 
1、早晚刷牙,饭后漱口,适当使用牙线清洁牙齿,在软性结石堆积前清洁口腔。
 
2、调整饮食结构,多吃富有维生素的粗纤维食物,充分咀嚼以利于牙面清洁。
 
3、少吃甜食及黏性较大的食物,尤其是容易残留的糕点、饼干类,另外健康使用牙齿,不让牙齿收冷热刺激。
 
4、建议每半年进行一次口腔检查。
 

 
如果您还有其它问题,可以在线咨询德伦口腔专家为您解答相关口腔问题,您也可以拨打全国热线电话 020-83782905 咨询,德伦口腔专家会竭尽所能的帮助您。在线咨询德伦专家>>>

热点推荐

Recommended

• 洗牙,是你看牙省钱的开始!
• 减轻洗牙酸痛感,让洗牙更轻松!
• 那些年,我们让洗牙背的锅
• 洗牙能把牙齿变白吗?
• 为什么有那么多人不敢洗牙?
• 当牙齿有结石会发生怎样的变化?
• 多数人口中都有的“毁牙炸弹”!
• 天天刷牙为什么牙齿还是会坏?
  • 上一篇:定期洁牙,为牙齿做一次“大扫除”
  • 下一篇:什么是“牙结石”,到底有什么危害?
返回列表

分享至

  • 诊疗项目
  • 关于德伦
  • 人才招聘
  • 连锁分院

预约/咨询热线
020-83782905
营业时间:9:00-18:00
全年365天无休,节假日照常值班

口腔种植 牙齿矫正 舒适儿牙 牙齿修复 牙体牙髓 口腔保健
德伦品牌 学术研究 新闻动态 公益事业 环境设备
加入我们
  • 德伦首页
  • 德伦品牌
  • 牙科项目
  • 专家团队
  • 儿童口腔
  • 爱牙工程
  • 德伦环境
  • 分院导航

您的位置: > 洁牙中心 > 牙结石 >

牙结石的治疗与预防
2023-05-07 15:43来源:德伦口腔点击:次
说到牙结石,很多人可能不甚了解,以为只有在人体内部如胆囊、肾脏等区域才会形成结石,殊不知牙齿上结石其实更为常见。正是由于人们对牙结石的存在没有引起足够重视,其潜在危害也没有被人们所察觉,直到它引起龋病和牙周病等口腔疾病并引发严重后果,人们才后悔莫及。今天,小德将带大家认识牙结石,了解关于它的概念、产生、危害及应对方法。
 
什么是牙结石长什么样子?
 
牙结石又称牙石,是长期附着在牙齿表面经过沉积和钙化形成的菌斑和软垢。它们通常呈黄色、褐色甚至黑色,主要在牙龈边缘,两颗牙齿之间或龋齿沟,呈现出大小各异的不同形状,甚至有的可以通过拉舌头而感知。
 

 
牙结石是如何形成的呢?
 
口腔内的细菌加上唾液中的糖蛋白会使牙齿表面形成一层薄膜经过长时间沉积形成菌斑再加上食物残渣和唾液所析出的钙磷无机盐慢慢矿化,形成牙结石。
 

 
牙结石会形成哪些危害呢?
 
人体口腔并不是一个无菌状态,无数个细菌再加上食物残渣形成的牙菌斑如果没有及时清理长期沉积在牙齿表面特别是在牙颈与牙龈交界处,长期刺激牙龈会引发牙龈炎而导致口臭、牙龈红肿、出血等情况,且在牙龈炎症状之后,如果没有及时治疗可能会导致牙周炎的发生,使牙龈、牙周膜、牙槽骨和牙骨质遭到破坏,如牙周袋的形成、附着丧失和牙槽骨吸收,随着病程发展严重会出现牙齿松动、移位、牙龈萎缩、肿胀疼痛、导致牙齿缺失。
 

 
对于牙结石如何治疗?
 
 一方面是对牙菌斑的控制,以减少牙结石的形成和细菌对牙龈的侵害,另一方面用洁治的方法清除附着在牙齿表面的牙结石,洁治术主要是通过超声波震碎牙结石同是会有水雾喷出,将震碎的牙结石冲洗干净,色素沉淀严重者还需进行喷砂、抛光,以减少牙菌斑和牙石再次附着牙面的目的。

 
如何预防牙结石?
 
1、早晚刷牙,饭后漱口,适当使用牙线清洁牙齿,在软性结石堆积前清洁口腔。
 
2、调整饮食结构,多吃富有维生素的粗纤维食物,充分咀嚼以利于牙面清洁。
 
3、少吃甜食及黏性较大的食物,尤其是容易残留的糕点、饼干类,另外健康使用牙齿,不让牙齿收冷热刺激。
 
4、建议每半年进行一次口腔检查。
 

 
如果您还有其它问题,可以在线咨询德伦口腔专家为您解答相关口腔问题,您也可以拨打全国热线电话 020-83782905 咨询,德伦口腔专家会竭尽所能的帮助您。在线咨询德伦专家>>>
牙齿问题在线咨询 020-8378 2905

网上自助挂号

患者
须知

贯彻国家卫生部新医改政策,严格落实解决挂号难、看病难问题,开展网络自助预约挂号服务。

选择科室*

  • 种植科
  • 正畸科
  • 综合牙科
  • 儿童齿科

选择年龄*

  • 18岁以下
  • 18-30岁
  • 30-50岁
  • 50岁以上

口腔连锁品牌

  • 首页
  • 项目
  • 顶部

专家预约热线:020-8378 2905
本网站信息仅供参考,不能作为诊疗及医疗依据
广州德伦口腔 粤ICP备11073526号