您的位置: > 口腔保健 >
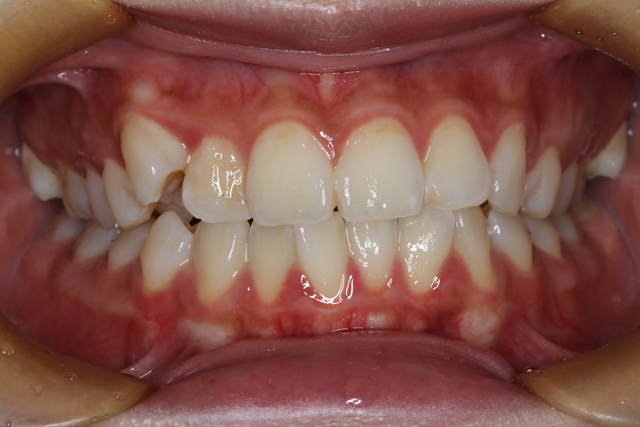
有虎牙,该怎么处理?
发表于:2023-03-02 来源:德伦口腔 编辑:徐编 点击:次






德伦口腔塑颜正畸,实现功能、健康、美观三大目标
德伦口腔正畸中心在多年“美学正畸”的实践基础上,全面实现了以面型为导向的正畸治疗,并由此衍生出德伦特色的塑颜正脸技术,在注重牙齿基本排齐的前提下,建立良好牙齿功能及稳定的矫治效果,进行面型的改善,帮助各类错颌畸形患者实现变美、变健康的目的,注重咬合功能协调,塑造颜值美观靓丽。

博硕专家团三层级会诊,为患者口腔健康保驾护航
由原广东省口腔医院正畸科学术带头人缪耀强教授,全国隐形矫治病例大赛二等奖获奖者熊小琴主任领衔的一批博硕专家团,在固定矫治、隐形矫治、舌侧矫治三大领域,都有一个学科带头人在指导监督,并在院内形成“正畸安全质量控制小组”,专家团对方案把关,对病例抽查,对结果考核,形成“主诊医生-科主任-技术院长”三层综合会诊和监督的制度。在线咨询德伦正畸专家>>>

也就是说,全集团每一位患者的矫治方案并不是由主诊医师一个人决定,而是以我们技术院长为首的专家团队对方案进行把关。在矫治过程中,质控小组对我们每一个病例进行全程监控,为患者“保驾护航”。
如果您还有其它问题,可以在线咨询德伦口腔专家为您解答相关口腔问题,您也可以拨打全国热线电话 020-83782905 咨询,德伦口腔专家会竭尽所能的帮助您。
您的位置: > 口腔保健 >






德伦口腔塑颜正畸,实现功能、健康、美观三大目标
德伦口腔正畸中心在多年“美学正畸”的实践基础上,全面实现了以面型为导向的正畸治疗,并由此衍生出德伦特色的塑颜正脸技术,在注重牙齿基本排齐的前提下,建立良好牙齿功能及稳定的矫治效果,进行面型的改善,帮助各类错颌畸形患者实现变美、变健康的目的,注重咬合功能协调,塑造颜值美观靓丽。

博硕专家团三层级会诊,为患者口腔健康保驾护航
由原广东省口腔医院正畸科学术带头人缪耀强教授,全国隐形矫治病例大赛二等奖获奖者熊小琴主任领衔的一批博硕专家团,在固定矫治、隐形矫治、舌侧矫治三大领域,都有一个学科带头人在指导监督,并在院内形成“正畸安全质量控制小组”,专家团对方案把关,对病例抽查,对结果考核,形成“主诊医生-科主任-技术院长”三层综合会诊和监督的制度。在线咨询德伦正畸专家>>>

也就是说,全集团每一位患者的矫治方案并不是由主诊医师一个人决定,而是以我们技术院长为首的专家团队对方案进行把关。在矫治过程中,质控小组对我们每一个病例进行全程监控,为患者“保驾护航”。
如果您还有其它问题,可以在线咨询德伦口腔专家为您解答相关口腔问题,您也可以拨打全国热线电话 020-83782905 咨询,德伦口腔专家会竭尽所能的帮助您。
牙齿问题在线咨询
020-8378 2905
网上自助挂号
患者
须知
贯彻国家卫生部新医改政策,严格落实解决挂号难、看病难问题,开展网络自助预约挂号服务。

口腔连锁品牌